PALS special procedures
Intraosseous access
For patients' safety reasons, current American Heart Association and European Resuscitation Council guidelines recommend intraosseous (IO) vascular access as an alternative in cases of emergency, if prompt venous catheterization is impossible.
In an acute resuscitation situation like cardiopulmonary arrest or shock states, an essential priority is to obtain vascular access. This is often difficult in infants and children. The physiologic processes of shock and hypothermia with resulting vascular constriction, which are often present in a resuscitative situation, may further complicate the problem. Furthermore, the skill and experience levels of health providers widely vary.
Initiation of intraosseous (IO) access is indicated in adults, children, infants, or newborns in any clinical situation in which vascular access is urgently where a peripheral vein is difficult to cannulate due to burns, edema, or obesity. IO access provides a means of administering medications, fluids and, potentially, provides a means of obtaining blood samples. IO access is safer, is associated with fewer complications and time delay, and requires less skill and practice for those who rarely use such techniques when compared with child and infant peripheral intravenous access, central lines, or umbilical line.
IO needle placement is not definitive therapy; rather, it allows for the administration of life-saving medications and fluids in a context in which intravascular access is vital. Often, the definitive intravenous access is easier to obtain once a bolus of fluids and medications have been administered via the IO needle.
IO needles may be left in place in the marrow up to 24 hours; presumably, the longer the needle remains in place the greater the risk of infection and dislodgement.
Intraosseous (IO) access techniques have been used for decades and have been proven to be safe, reliable, and rapid means of providing crystalloids, colloids, medications, and blood products into the systemic circulation. The marrow cavity provides access to a noncollapsible venous plexus as blood flows from the medullary venous sinusoids into the central venous sinus and is then drained into the central venous circulation via nutrient and emissary veins.
The EZ-IO power driver is an IO device used by 90 percent of US advanced life support ambulances and over half of US Emergency Departments, as well as the US Military, and is available in over 50 countries worldwide.

Three different sizes of intraosseous needles for use in the EZ IO. Appropriate size is determined by patient weight and size.
The EZ-IO needles can be inserted in the proximal tibia, proximal humerus and the distal tibia. The length of the needle is determined by the patient's weight in kilograms, and the depth of insertion is determined by the operator (as with the manual devices).

Sources: http://www.surgicalsolutionsusa.com/intraosseous_vidacare_needle_sets.html
http://www.vidacare.com/admin/files/VIDO5-8016-REVH_02-26_HIRES.pdf
Contraindications to intraosseous (IO) access include the following:
• Ipsilateral fracture of the extremity because of resulting extravasation and risk of compartment syndrome
• Previous attempt or placement in the same leg or site because of consequent extravasation into soft tissue compartments through the previous puncture site
• Osteogenesis imperfecta because of the likelihood of causing a fracture when puncturing the bone
• Osteopetrosis because of fracture risk
• Overlying skin infection at the proposed puncture site because of the risk of seeding infection (a relative contraindication)
Complications
Complications of intraosseous (IO) needle placement are rare, especially if the correct techniques are followed and frequent subsequent evaluations of position within the bone are performed.
Failure to achieve effective IO placement may be the result of one or more of the following:
• Incorrect identification of landmarks
• A bent needle, which is more common with longer needles
• Through-and-through penetration of both anterior and posterior cortices caused by excess force after the needle has penetrated the cortex, which renders the punctures useless because of fluid extravasation and which may potentially cause a compartment syndrome
• Subcutaneous or subperiosteal infiltration, caused by incomplete placement of needle or by a dislodged needle
• Fractures caused by excess force or by fragile bones (eg, marked osteoporosis or osteopenia, osteopetrosis, osteogenesis imperfecta), which allows leakage, extravasation, and potential compartment syndrome to occur
Complications even after effective placement and timely removal are rare but may include the following:
• Local infection (cellulitis and osteomyelitis are quite rare)
• Compartment syndrome secondary to fluid extravasation
• Local hematoma
• Pain

• Potential growth plate injuries, although not reported in animals or humans.
• Fat embolus, with rare reports in adult patients and not reported when an IO needle is placed in the tibia (rather than other sites such as the ilium or sternum)
http://emedicine.medscape.com/article/940993-treatment#a17
Note:
Flushing with at least 10ml saline is required after any medication. For the free flow of fluids you have to understand the pressure needed to overcome the medullary preassure:

|
Download the video file [0.0 MB] |
Tension Pneumothorax

Tension pneumothorax is a life-threatening emergency. It is caused when air enters the pleural space during inspiration but cannot exit during exhalation. The positive pressure results in a collapse of the involved lung and a shift of the mediastinal structures to the contralateral side. This causes a decrease in cardiac output as a consequence of decreased venous return and leads to rapidly progressive shock and death if not treated.
In general, a small < 25%, simple pneumothorax is treated conservatively, unless the patient is significantly symptomatic. High concentration of oxygen via a nonrebreathing face mask is recommended to increase reabsorption of intrapleural air; however, the potential for oxygen toxicity should be considered, and this high concentration of oxygen should not be administered for long periods. The patient should be observed and chest radiography should be repeated to look for improvement.
A small, simple pneumothorax in a traumatised patient is best treated with a chest tube, because the condition may rapidly convert into a tension pneumothorax, especially if positive pressure ventilation is applied.
Tension pneumothoraces need immediate decompression with needle thoracostomy, followed by tube thoracostomy.
Clinical Presentation:
- Early findings
- Chest pain
- Dyspnea
- Anxiety
- Tachypnea
- Tachycardia
- Hyperresonance of the chest wall on the affected side
- Diminished breath sounds on the affected side
Late findings
- Decreased level of consciousness
- Tracheal deviation toward the contralateral side
- Hypotension
- Distension of neck veins (may not be present if hypotension is severe)
- Cyanosis

| Trachea | |
| Expansion | |
| Percussion Note | |
| Breath sounds | |
| Neck veins |
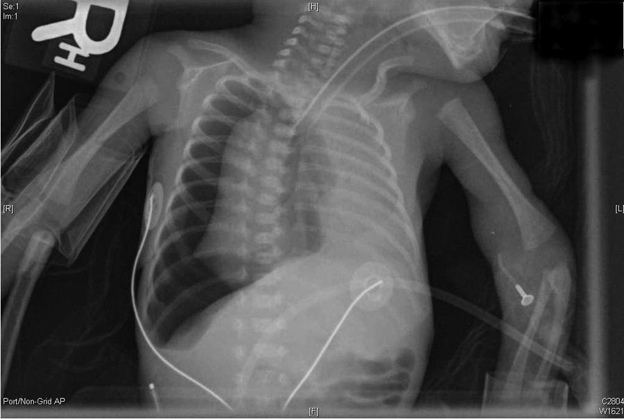
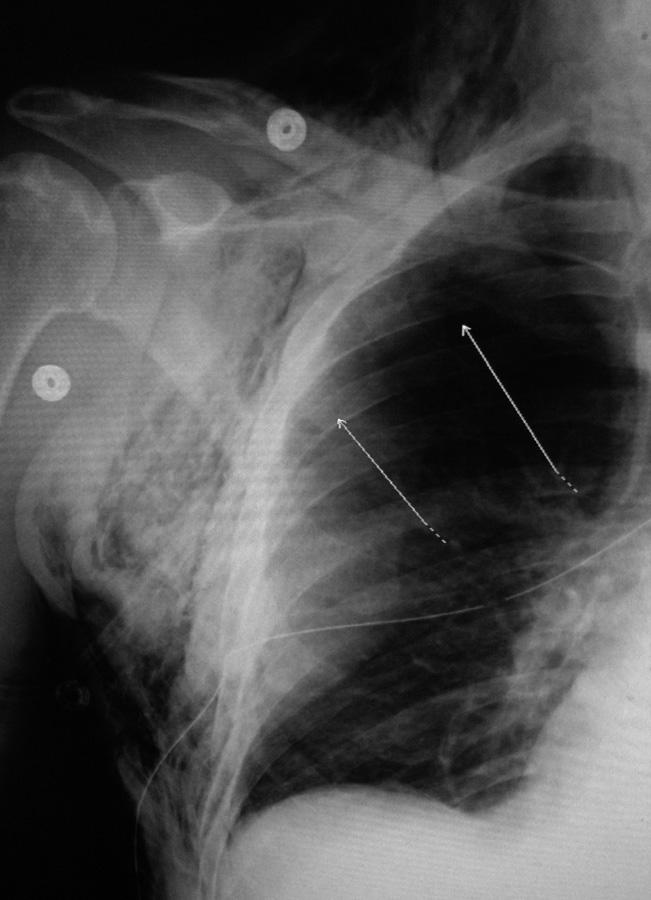
Neonate with a right tension pneumothorax. Note the tracheal deviation to the left.

Subcutaneous Emphysema and Pneumothorax
(Source: http://emedicine.medscape.com/article/1003552-treatment#d1)
In nonventilated patients, diagnosis often requires a high level of suspicion and the presence of decreased or absent breath sounds on the affected side.
In ventilated patients, the physician may begin to suspect tension pneumothorax when increased pleural pressures necessitate an increase in peak airway pressure in order to deliver the same tidal volume. Decreased expiratory volumes secondary to air leakage into the pleural space and increased end-expiratory pressure, even after discontinuation of PEEP, are 2 other signs of tension pneumothorax in these patients. Occasionally, the development of tension pneumothorax may be delayed for hours to days after the initial insult, and the diagnosis may become evident only if the patient is receiving positive-pressure ventilation.
Increased pulmonary artery pressures and decreased cardiac output or cardiac index are evidence of tension pneumothorax in patients with Swan-Ganz catheters.
Needle Thoracocentesis
Needle Thoracocentesis provides rapid emergency decompression of a tension pneumothorax
It is a temporary life-saving procedure – a definitive chest drain will be required to stabilise the ongoing air leak
Equipment |
|
Procedure |
|
Source:http://kidshealthwa.com/guidelines/intercostal-catheters-and-needle-thoracocentesis/

|
Needle Thoracentesis in Neonates (Pneumothorax)
Download the video file [0.0 MB] |

|
Needle Thoracentesis
Download the video file [0.0 MB] |

